팝업레이어 알림

97570d22bc8014e9fd35a089f4ddcee9_1776146926_0195.jpg

굿프렌즈 치과
임플란트
치아교정
일반 진료
틀니치료
소아진료
임상증례
굿프렌즈 치과
임플란트
치아교정
일반 진료
틀니치료
소아진료
임상증례

굿프렌즈 치과
임플란트
치아교정
일반 진료
틀니치료
소아진료
임상증례
좋은 치료 결과를 생각하는

굿프렌즈 치과

진료에 앞선 굿프렌즈 치과 의료진의 다짐.
  1. 찾아주신 환자 한 분 한 분을 가족처럼 소중하게 모시겠습니다.
  2. 어떤 상황에서도 최선을 다해 진료하겠습니다.
  3. 늘 환자의 입장을 생각하고 역지사지의 정신으로 진료에 임하겠습니다.
  4. 항상 진료 환경을 청결하게 유지하겠습니다.
  5. 책임 있는 자세로 끝까지 우리 병원 환자들을 돌보겠습니다.
치과보철과 전문의
일대일 맞춤 임플란트

개인 맞춤 임플란트

소아∙청소년∙성인 교정
커스텀 맞춤 교정

밝은 미소 치아교정

자연치아 보존 치료
충치∙신경치료

자연치아 살리기

3D 장비를 통한
정밀 진단 시스템

디지털 장비 구축

대학병원 가지 않아도
일반∙매복사랑니 발치

사랑니발치 클리닉

치과보철과 전문의
기능과 아름다움까지

자연스러운 심미보철

치과보철과 전문의
오래쓰는 맞춤 틀니

맞춤 틀니치료

굿프렌즈 치과
치료 전후 이야기

BEFORE & AFTER

굿프렌즈 치과 치료 후기

임플란트
자연치아 살리기
심미보철
틀니
치아교정
사랑니발치
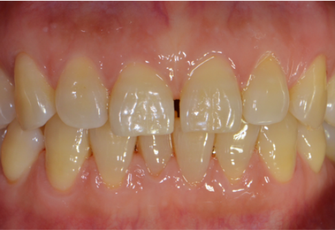
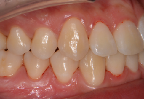
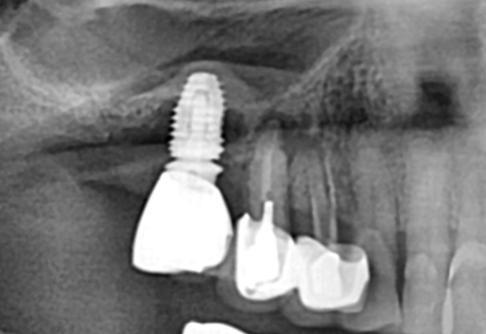
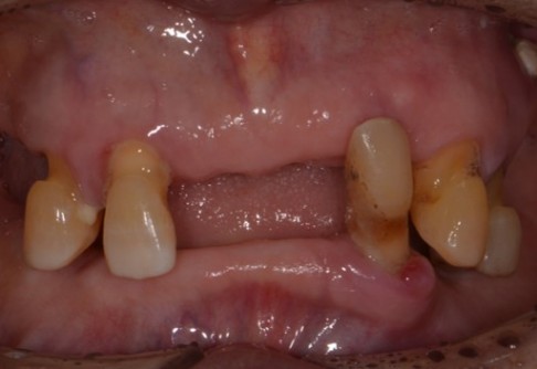
Before

BEFORE

After

AFTER

위 치료 사례는 굿프렌즈치과에서 직접 치료를 받은 환자 분의 사례로 직접 동의를 얻어 게재되었습니다.

치료사례 더보기 +
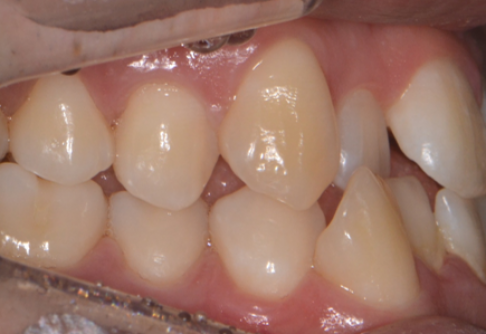
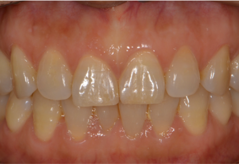
Before

BEFORE

After

AFTER

위 치료 사례는 굿프렌즈치과에서 직접 치료를 받은 환자 분의 사례로 직접 동의를 얻어 게재되었습니다.

치료사례 더보기 +
Before

BEFORE

After

AFTER

위 치료 사례는 굿프렌즈치과에서 직접 치료를 받은 환자 분의 사례로 직접 동의를 얻어 게재되었습니다.

치료사례 더보기 +
Before

BEFORE

After

AFTER

위 치료 사례는 굿프렌즈치과에서 직접 치료를 받은 환자 분의 사례로 직접 동의를 얻어 게재되었습니다.

치료사례 더보기 +
Before

BEFORE

After

AFTER

위 치료 사례는 굿프렌즈치과에서 직접 치료를 받은 환자 분의 사례로 직접 동의를 얻어 게재되었습니다.

치료사례 더보기 +
Before

BEFORE

After

AFTER

위 치료 사례는 굿프렌즈치과에서 직접 치료를 받은 환자 분의 사례로 직접 동의를 얻어 게재되었습니다.

치료사례 더보기 +

굿프렌즈 치과
진료시간 및 오시는 길

※일요일 및 공휴일은 휴진

전화상담

카톡상담

네이버 예약

블로그

인스타그램

치료후
주의사항

오시는 길

▲ TOP