아름다운 미소 라인 완성
잇몸성형
과도하게 잇몸이 노출되거나 덮는 경우,
잇몸 비대칭 등 심미적 고민이
있는 분들께 좋습니다.
치아, 잇몸 경계부위를 개선하여
이상적인 잇몸 라인으로 만들어
자연스럽고 아름다운 잇몸 라인을 완성합니다.

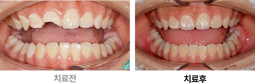
치과 보철과는 손상되거나
잃어버린 치아를 기능과 심미성을 갖춘 보철물로
회복하는 전문 진료 분야입니다.
보건복지부에서 인정한
치과 보철과 전문의 자격은 치과의사 면허 취득 후
대학병원에서 인턴, 레지던트 과정을 수료하고
국가에서 시행하는 전문의 시험에 합격해야 주어집니다.


굿프렌즈 치과는 보철과 전문의가
직접 진단하고 제작합니다.
환자 개개인의 얼굴 형태, 입술 라인,
잇몸 등을 종합적으로 고려하여
자연스럽고 건강한 미소를
찾아드립니다.
심미보철 치료는 치아 기능, 잇몸과의 조화, 얼굴 형태 등을
종합적으로
고려해야 하는 정교함과
기술력이 요구되는 치료 입니다.
치아 기능과 아름다움을 회복할 수 있도록 하는 것이 중요합니다.
단순히 심미적인 부분 뿐만 아니라 교합, 저작 기능 회복까지도
고려한 맞춤 솔루션이 되어야 합니다.
굿프렌즈 치과는 대학병원 외래교수, 치의학박사,
보철을 전문으로 다루는
치과보철과 전문의가 함께 합니다.

과도하게 잇몸이 노출되거나 덮는 경우,
잇몸 비대칭 등 심미적 고민이
있는 분들께 좋습니다.
치아, 잇몸 경계부위를 개선하여
이상적인 잇몸 라인으로 만들어
자연스럽고 아름다운 잇몸 라인을 완성합니다.

레진치료는 치아를 거의 삭제하지 않고
손상된 치아의 기능과 심미성을
회복하는 데 효과적인 치료입니다.
치아 사이 틈, 깨진 치아, 깊은 충치 혹은 변색 등
다양한 경우 도움이 됩니다.
치아 크기, 볼륨, 주변 치아, 잇몸 등을
고려해 완성합니다.

치아를 삭제 하지 않거나 꼭 필요한 경우
겉 표면을 0.1mm정도만 삭제한 뒤
인공 치아를 부착해 기능과 심미적인 문제를
개선할 수 있도록 합니다.
자연치아 삭제량이 거의 없거나 최소로
진행되기 때문에 시린 증상이 없고
자연스럽게 완성합니다.

고농도의 미백 약제와 특수 광선을 이용하여
짧은 시간 내에 변색된 치아를 하얗게 되돌리는
치료로 치아 변색, 착색에 효과적입니다.
개인의 구강상태를 고려하여 농도와 시간을
조절해 만족스러운 결과를 이끌어 냅니다.

하얀 다이아몬드라고 불릴 만큼
강도가 우수하며, 치아 색상과 흡사해
심미성이 좋습니다.
앞니, 어금니 모두에 적용 가능하며
금속 경계가 없어 자연스럽고
강한 내구성, 생체친화성을 갖추고 있습니다.