-
-
굿프렌즈 치과는
쉽게 포기 하지 않습니다.
굿프렌즈가 가장 우선하는 가치는 ‘자연치아 살리기’ 입니다.
아무리 임플란트가 쉬워지고 저렴해졌지만,
내 치아보다 나을 수는 없습니다.
크게 손상된 치아라고 하더라도 가능하다면
내 치아를 더 오래 살려서 쓸 수 있도록 치료계획을 세웁니다.
-
-
치과 마다 다른 충치개수? 진단?
정량광형광기를 이용해 더 정확하게 봅니다!
작은 차이도 잡아내는 큐레이(Qray)
큐레이는 육안으로 확인하기 어려운 초기 충치, 치태, 치석,
미세한 균열까지 정밀하게 진단 가능합니다.
가시광선을 통해 붉은 빛으로 쉽게 확인 가능해
믿고 치료 받으실 수 있습니다.
-
-
6배 확대경 JTL LOUPE로
더 완벽하게!
- 더 선명하고 더 명확하게
- 잔존 우식 확인 후 깨끗이 제거
- 진료 퀄리티 향상
- 신경 치료 시 더 정밀하게
높은 정밀도가 필요할 때
육안으로 보기 어려운 부분까지도 놓치지 않도록!
보다 높은 장기 치료 성공률을 추구합니다!
단계별 맞춤 충치치료
자연 치아를 살리려면 증상별 개인 맞춤 치료가 이뤄져야 합니다.
-
법랑질 충치
레진
치아 겉면인 법랑질 표면에 생기는
작은 충치는 검은 점선처럼
보이며 통증이 거의 없습니다.
-
상아질 충치
인레이
치아 내부의 상아질까지 우식이
진행된 단계로 깊이가 깊고
시린 증상이 나타날 수 있습니다.
-
치수염 진행
크라운
신경 내부까지 진행된 충치는
치수염을 유발하여
때로는 심한 통증이 발생합니다.
-
치근 우식 및 치조골 파괴
브릿지
치아와 치아 사이의 공간에 연결된
보철물을 이용하여 치아 형태와 기능을
되살려주는 치료입니다.
-
치근 우식 및 치조골 파괴
임플란트
뿌리까지 우식이 진행되거나
치아 머리가 거의 남아있지 않은 경우는
발치가 필요합니다.
-
-
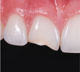
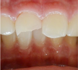
레진 치료
충치나 치아파절, 마모 등으로 손상된 부위를
자연스럽게 복원하는 치료입니다.
정교한 접착 기술을 사용하여 치아를 최소한으로 삭제하고
짧은 시간 안에 심미적이고 기능적인 결과를 얻을 수 있습니다.
레진 치료 대상
-
초기 충치가 발생한 경우
-
앞니 사이가 벌어진 경우
-
앞니가 부러진 경우
-
치아 마모가 진행된 경우
-
-
레진 장점 무엇일까요?
- 치아 색상과 흡사해 심미성 우수
- 높은 유지력과 변색에 강함
- 내원 당일 치료 가능
- 자기 치아 보존에 유리
- 경제적인 치료 비용
-
-
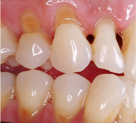
자연치아와 가장 가까운 복원 방법
이맥스(E-Max) 인레이
이맥스 인레이 치료
많은 세라믹 인레이 중에서도 자연치아와
가장 가까운 색상을 구현하며 내구성이 뛰어납니다.
치아에 접착하는 과정이 복잡하고 고난이도에 속해
보철을 잘 다루는 치과를 찾아야 합니다.
굿프렌즈 치과는 보철과 전문의가 함께 합니다.
이맥스 인레이 치료 대상
-
레진으로 기능적
내구성이 부족한 경우
-
심미적 회복이 중요한
치아 부위
-
예전 금속 인레이 후
치아 파절을 경험하신 분
-
-
이맥스 인레이 장점 무엇일까요?
- 뛰어난 강도와 강한 부착력
- 치아 색과 유사한 색감, 투명도
- 착색 방지
- 우수한 생체적합성
-
-
크라운 치료
심한 충치나 금이 간 치아, 신경 치료 후 약해진 치아 등을
전체를 감싸는 보철물로 덮어 보호하는 치료입니다.
손상된 치아의 형태와 기능을 회복하고 강도와 내구성을 높여줍니다.
크라운 치료 대상
-
치아 삭제 범위가 넓은 경우
-
상당 부분 치아가 파손된 경우
-
신경치료로 치아가 약해진 경우
-
오래된 보철물을
교체해야 하는 경우
-
-
크라운 장점 무엇일까요?
- 강한 내구성으로 치아보호 효과 우수
- 자연스러운 색과 형태로 심미성 개선
- 저작 기능 회복
- 장기간 안정적으로 사용 가능
-
-
자연치아를 살릴 가능성이 1%라도 있다면
신경 치료
충치, 잇몸질환으로 치아 내부 치수 조직이
손상된 경우 오염된 치수 조직을 제거하고
소독 후 멸균된 치과용 재료로 채워
치아의 기능을 유지시켜주는 치료입니다.
신경치료는 내 치아를 살리는 마지막 과정으로
굿프렌즈치과는 정확하고 안전한 신경치료를 통해
자연 치아를 살리는 치료를 합니다.
신경치료 과정
-
감염된 치아
충치를
제거한 후
뿌리 쪽 신경을
노출시켜 염증
제거
-
신경관 제거/소독
오염된 신경을
제거한 후
소독 및 세척
-
신경관 내부 충전
신경을 대체해주는
치과용 멸균 재료를
넣어 충전
-
크라운 치료
충전 후 남은 치아를
보호할 수 있도록
보철물 장착
신경치료 치료 대상
-
- 치아가 파절 되거나 상실한 경우
- 치아 뿌리 쪽까지 염증이 생긴 경우
- 충치가 신경 내부까지 퍼진 경우
- 신경 손상으로 치아가 변색된 경우
- 과거 치료 한 치아가 다시 아픈 경우
- 일상생활을 방해할 정도로 통증이 심한 경우
