세라믹 인레이
-
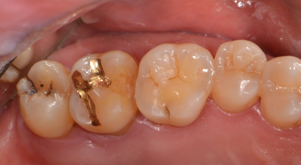
Before
-
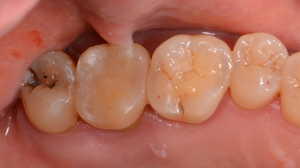
After
인레이는 치아를 완전히 씌우는 크라운과 달리 부분적으로 수복하는 치료입니다.
예전에는 금 인레이를 많이 했었지만 최근에는 세라믹 인레이가 대세로 자리잡고 있습니다.
세라믹 인레이에도 종류가 많지만
굿프렌즈 치과에서는 그중에서도 가장 정밀하고 강도도 좋으며 심미성도 좋은 E-max 인레이로 치료하고 있습니다.
스위스 정품 블럭과 기공 머신으로 제작하여
최선의 결과를 낼 수 있도록 노력하고 있습니다.
예전에는 금 인레이를 많이 했었지만 최근에는 세라믹 인레이가 대세로 자리잡고 있습니다.
세라믹 인레이에도 종류가 많지만
굿프렌즈 치과에서는 그중에서도 가장 정밀하고 강도도 좋으며 심미성도 좋은 E-max 인레이로 치료하고 있습니다.
스위스 정품 블럭과 기공 머신으로 제작하여
최선의 결과를 낼 수 있도록 노력하고 있습니다.
