과연 어디까지 살릴 수 있을까?
-
Before
-
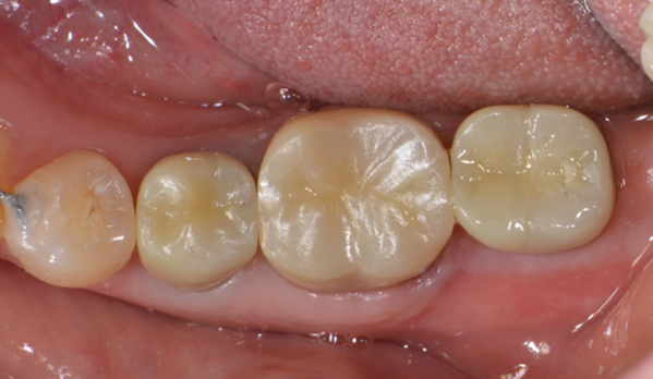
After
환자께서 내 치아를 너무나 살려서 쓰고 싶어하실 경우,
오래 쓰시지 못할 수도 있다고 설명드리고 그래도 크라운 치료를 원하시면
씌워서 살려 쓰게 됩니다.
위 케이스는 다행히 5년 이상 지난 현재까지도 무사히 유지되고 있습니다.
이런 케이스들을 보면 당시에는 저조차도 반신반의 했지만 그래도 진행하기를 잘했다는 생각에 안도하게 됩니다.
오래 쓰시지 못할 수도 있다고 설명드리고 그래도 크라운 치료를 원하시면
씌워서 살려 쓰게 됩니다.
위 케이스는 다행히 5년 이상 지난 현재까지도 무사히 유지되고 있습니다.
이런 케이스들을 보면 당시에는 저조차도 반신반의 했지만 그래도 진행하기를 잘했다는 생각에 안도하게 됩니다.
