타원 실패 임플란트 재 시술 증례.
-
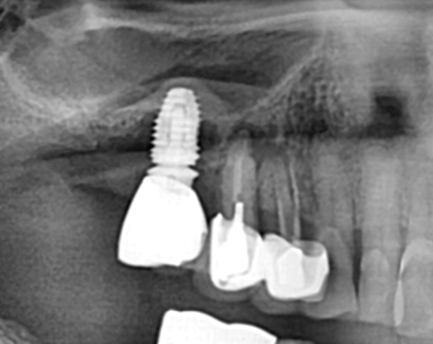
Before
-
After
모든 것은 영구적일 수 없습니다.
임플란트도 각종 합병증이 생길 수 있고 본 케이스 처럼 잇몸 뼈가 70~80%이상 소실 되면
제거하고 다시 시술해야 할 수 있습니다.
잇몸 뼈가 많이 소실된 상태이므로 임플란트 재수술은 보통 더 어려울 수 밖에 없습니다.
위 케이스에서는 상악동 거상술을 측방 접근법으로 시행하여 뼈 이식을 충분히 시행한 뒤 임플란트를
식립하여 단단한 골 지지를 얻을 수 있도록 하였습니다.
임플란트도 각종 합병증이 생길 수 있고 본 케이스 처럼 잇몸 뼈가 70~80%이상 소실 되면
제거하고 다시 시술해야 할 수 있습니다.
잇몸 뼈가 많이 소실된 상태이므로 임플란트 재수술은 보통 더 어려울 수 밖에 없습니다.
위 케이스에서는 상악동 거상술을 측방 접근법으로 시행하여 뼈 이식을 충분히 시행한 뒤 임플란트를
식립하여 단단한 골 지지를 얻을 수 있도록 하였습니다.
