정출된 치아 크라운 및 임플란트 수복 증례
-
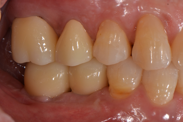
Before
-
After
치아가 빠진 채로 시간이 흐르게 되면
마주 닿던 치아가 내려오거나 올라가게 됩니다.
이렇게 되면 멀쩡했던 기존 내 치아도 발치하게 되는 안타까운 상황이 생기게 됩니다.
이가 빠졌다면 늦지 않게 임플란트와 크라운을 활용하여 치료를 진행해야 하는 이유입니다.
마주 닿던 치아가 내려오거나 올라가게 됩니다.
이렇게 되면 멀쩡했던 기존 내 치아도 발치하게 되는 안타까운 상황이 생기게 됩니다.
이가 빠졌다면 늦지 않게 임플란트와 크라운을 활용하여 치료를 진행해야 하는 이유입니다.
