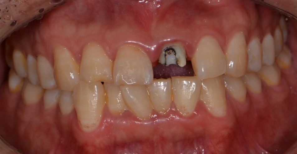
앞니 임플란트.
-
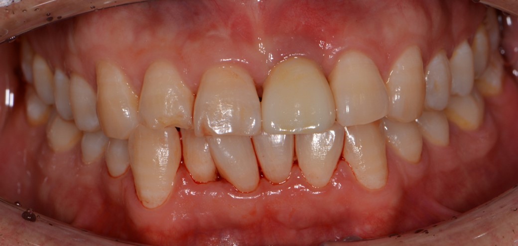
Before
-
After
전치부 임플란트는 기능 뿐 아니라 심미적인 측면에서도 중요하기 때문에
고려해야 할 부분이 더 많은 시술입니다.
정밀하게 발치하고 섬세하게 잇몸을 다뤄야하며
정확한 각도와 깊이로 적절한 직경과 길이의 임플란트를 식립해야 합니다.
숙련된 치과의사가 더욱 필요한 이유입니다.
굿프렌즈 치과는 보철을 전공하고 수년간 수 많은 앞니 케이스를 마무리한
대표원장이 치료 계획부터 마무리까지 전담하여 진행합니다.
고려해야 할 부분이 더 많은 시술입니다.
정밀하게 발치하고 섬세하게 잇몸을 다뤄야하며
정확한 각도와 깊이로 적절한 직경과 길이의 임플란트를 식립해야 합니다.
숙련된 치과의사가 더욱 필요한 이유입니다.
굿프렌즈 치과는 보철을 전공하고 수년간 수 많은 앞니 케이스를 마무리한
대표원장이 치료 계획부터 마무리까지 전담하여 진행합니다.
