파절된 앞니 임플란트
-
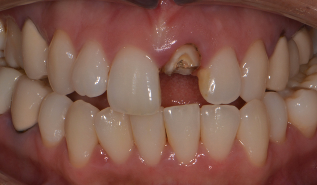
Before
-
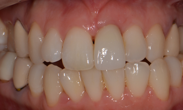
After
충격으로 인해 부러진 앞니를 발치 후
임플란트 보철을 시행한 모습입니다.
전치부 임플란트는 심미적인 부분까지 고려해야 하므로
더욱 시술 시 주의가 요망됩니다.
시술 경험이 많은 원장에게 진료 받으셔야 하는 이유입니다.
임플란트 보철을 시행한 모습입니다.
전치부 임플란트는 심미적인 부분까지 고려해야 하므로
더욱 시술 시 주의가 요망됩니다.
시술 경험이 많은 원장에게 진료 받으셔야 하는 이유입니다.
