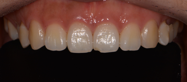
파절된 앞니 레진 치료
-
Before
-
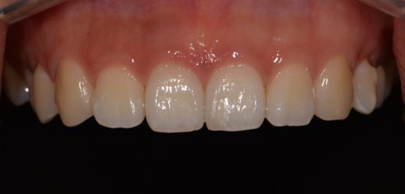
After
앞니는 종종 깨지곤 합니다.
심미적으로 중요한 부위이므로 조금 깨졌다고 하더라도
치료를 안할 수가 없는 경우가 많은데요,
많이 깨진 것도 아닌데 큰 치료를 하기는 아까울 경우
레진 치료가 괜찮은 대안이 될 수 있습니다.
또 떨어져 버릴까봐 걱정을 할때도 있지만
위 케이스처럼 6년 넘도록 변색도 없이 잘 유지되는 케이스를 보면
레진 치료가 괜찮은 치료 방법임을 새삼 깨닫게 됩니다.
심미적으로 중요한 부위이므로 조금 깨졌다고 하더라도
치료를 안할 수가 없는 경우가 많은데요,
많이 깨진 것도 아닌데 큰 치료를 하기는 아까울 경우
레진 치료가 괜찮은 대안이 될 수 있습니다.
또 떨어져 버릴까봐 걱정을 할때도 있지만
위 케이스처럼 6년 넘도록 변색도 없이 잘 유지되는 케이스를 보면
레진 치료가 괜찮은 치료 방법임을 새삼 깨닫게 됩니다.
