파절된 앞니의 레진치료
-
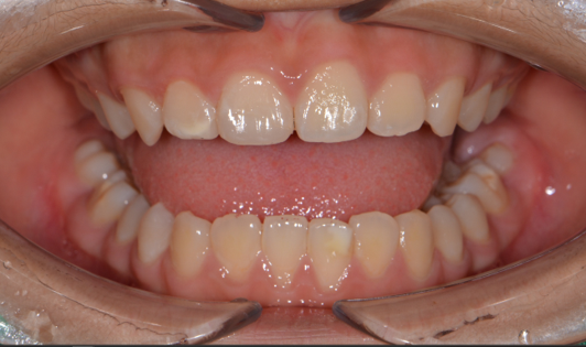
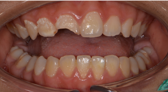
Before
-
After
이번에는 조금 크게 깨진 앞니의 레진치료 케이스 입니다.
많이 깨지게 된 경우는 크라운도 괜찮은 치료 방법이 될 수 있지만 이번 케이스는 레진으로 진행해보았습니다.
레진은 생각보다 심미적인 결과를 이끌어 낼 수 있습니다.
환자분들께서는 당일 치료로 바로 바뀔 수 있는 레진 치료의 신속성과 심미성에 매우 만족하십니다.
많이 깨지게 된 경우는 크라운도 괜찮은 치료 방법이 될 수 있지만 이번 케이스는 레진으로 진행해보았습니다.
레진은 생각보다 심미적인 결과를 이끌어 낼 수 있습니다.
환자분들께서는 당일 치료로 바로 바뀔 수 있는 레진 치료의 신속성과 심미성에 매우 만족하십니다.
