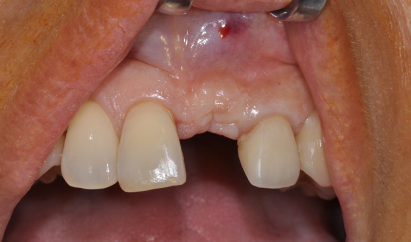
전치부 임플란트
-
Before
-
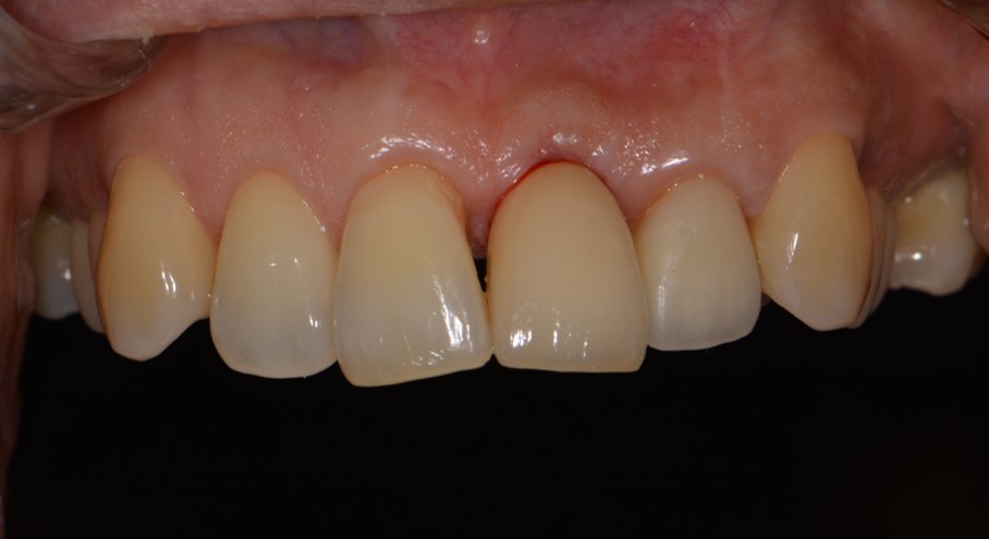
After
앞니 보철 시 기본 원칙은 '좌우 대칭' 입니다.
옆 치아와 유사하게 만들어 주는 것을 목표로 합니다.
때로는 공간이 다르게 남아있거나 기타 어려운 조건들로 인해 이상적인 보철을
하기가 어려울 때도 있지만 이런 저런 착시효과를 활용하여
보철을 디자인 하게 됩니다.
옆 치아와 유사하게 만들어 주는 것을 목표로 합니다.
때로는 공간이 다르게 남아있거나 기타 어려운 조건들로 인해 이상적인 보철을
하기가 어려울 때도 있지만 이런 저런 착시효과를 활용하여
보철을 디자인 하게 됩니다.
