앞니 크라운 케이스 1.
-
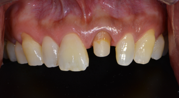
Before
-
After
치아가 많이 상했을 경우 해당 부분을 제거하고 나면
남은 부분이 너무 적어서 살려서 쓸 것인지를 고민할 때가 있습니다.
아주 오래는 쓰지 못할 수도 있지만,
환자께 자연치를 살려서 쓰는 것의 장점을 설명드린 후
진행할 때가 많습니다.
레진을 통해 상한 치아를 보강하고 다듬은 모습입니다.
남은 부분이 너무 적어서 살려서 쓸 것인지를 고민할 때가 있습니다.
아주 오래는 쓰지 못할 수도 있지만,
환자께 자연치를 살려서 쓰는 것의 장점을 설명드린 후
진행할 때가 많습니다.
레진을 통해 상한 치아를 보강하고 다듬은 모습입니다.
