벌어진 앞니 치료.
-
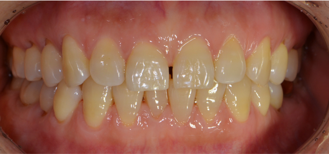
Before
-
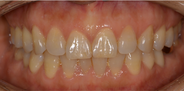
After
앞니가 벌어져 틈이 있는 경우에
레진 치료는 내 치아를 삭제하지 않고 만족스러운 심미적 결과를 낼 수 있다는 점에서
매우 매력적입니다.
라미네이트나 크라운 치료보다 비용이 상대적으로 저렴하다는 것도 이점입니다.
레진 치료는 내 치아를 삭제하지 않고 만족스러운 심미적 결과를 낼 수 있다는 점에서
매우 매력적입니다.
라미네이트나 크라운 치료보다 비용이 상대적으로 저렴하다는 것도 이점입니다.
