굿프렌즈 치과
임플란트
치아교정
일반 진료
틀니치료
소아진료
임상증례
굿프렌즈 치과
임플란트
치아교정
일반 진료
틀니치료
소아진료
임상증례

굿프렌즈 치과
임플란트
치아교정
일반 진료
틀니치료
소아진료
임상증례

틀니

굿프렌즈 치과 임상 케이스

직접 확인해보세요!

자연치아 살리기
임플란트
심미보철치료
틀니
치아교정
사랑니발치
기타치료

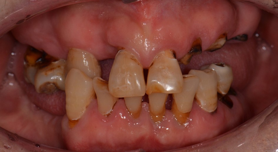
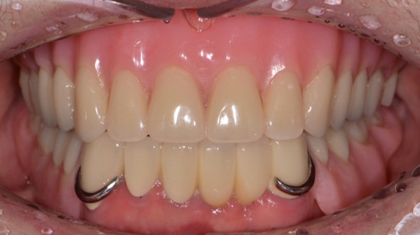
상악 전체틀니, 하악 부분틀니

Before
After
대부분의 치아가 중증 우식으로 발치해야 하는 상황이었습니다.

상악은 모두 발치하고 전체 틀니로,
하악은 앞니 몇개를 살려 부분 틀니로 진행하였습니다.

굿프렌즈 치과
진료시간 및 오시는 길

※일요일 및 공휴일은 휴진

전화상담

카톡상담

네이버 예약

블로그

인스타그램

치료후
주의사항

오시는 길

▲ TOP