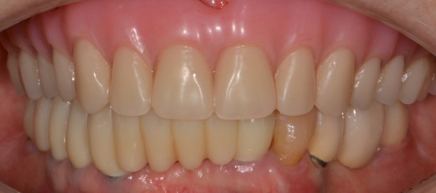
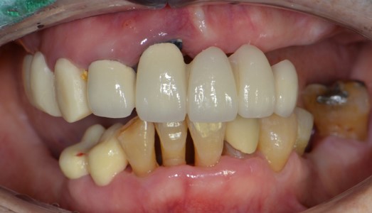
상악 완전틀니, 하악 임플란트
-
Before
-
After
위, 아래 모두 임플란트를 할 수 있다면 좋지만,
치료 비용이 부담되시거나
위턱 잇몸 뼈가 너무 부족해서 임플란트가 어려우신 분들께는
위는 완전 틀니로 진행하고
아래는 임플란트 보철로 진행하는 절충안이 괜찮은 대안이 될 수 있습니다.
치료 비용이 부담되시거나
위턱 잇몸 뼈가 너무 부족해서 임플란트가 어려우신 분들께는
위는 완전 틀니로 진행하고
아래는 임플란트 보철로 진행하는 절충안이 괜찮은 대안이 될 수 있습니다.
