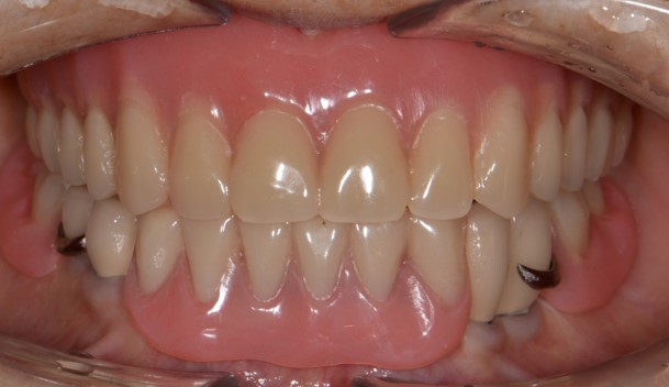
상악 완전틀니, 하악 임플란트 크라운 지지 부분 틀니
-
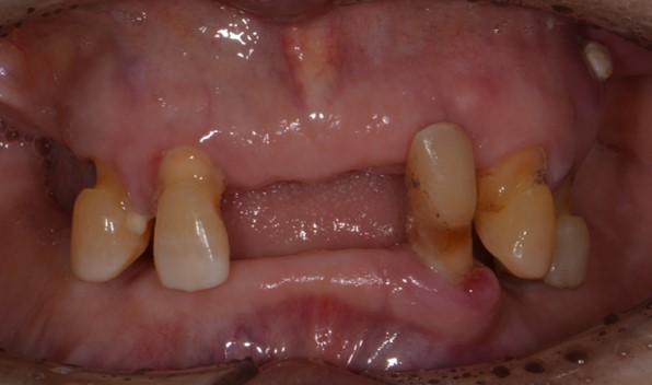
Before
-
After
틀니는 늘 아래 턱에 끼우는 틀니가 문제입니다.
면적이 좁아서 아픈 부분도 생기고 유지력도 상악보다 부족할 수 밖에 없습니다.
이럴 때 아래 임플란트를 2개 이상만 심게되면 유지력과 안정성 모두에서 큰 도움을 얻을 수 있습니다.
80대 어르신이라고 하셔도 당뇨나 골다공증 등 기저 질환만 어느 정도 조절되신다고 하시면
위와 같은 치료를 얼마든지 받으실 수 있습니다.
면적이 좁아서 아픈 부분도 생기고 유지력도 상악보다 부족할 수 밖에 없습니다.
이럴 때 아래 임플란트를 2개 이상만 심게되면 유지력과 안정성 모두에서 큰 도움을 얻을 수 있습니다.
80대 어르신이라고 하셔도 당뇨나 골다공증 등 기저 질환만 어느 정도 조절되신다고 하시면
위와 같은 치료를 얼마든지 받으실 수 있습니다.
