임플란트 브릿지와 부분틀니의 조합
-
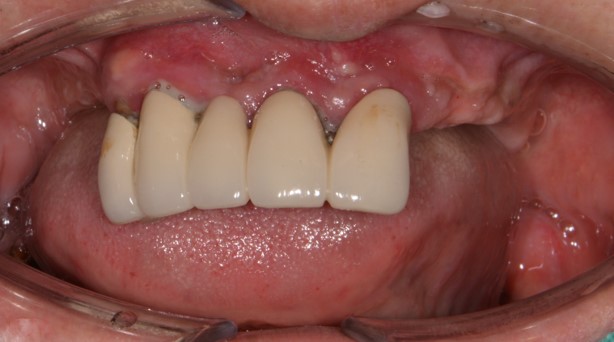
Before
-
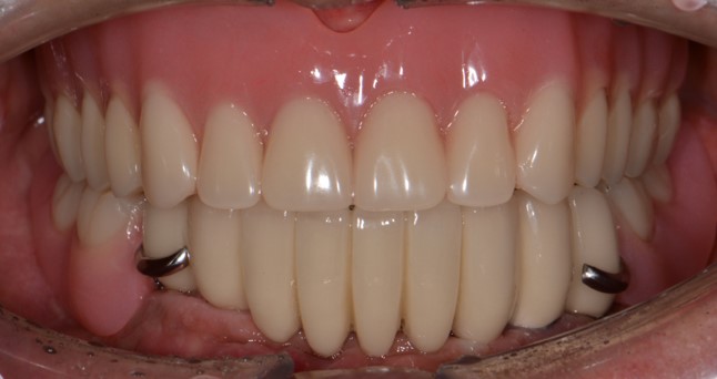
After
때로는 잇몸 뼈가 너무 부족해서 임플란트를 하고 싶어도 못하는 경우가 있습니다.
하지만 하악 전치부에서 소구치 부위까지는 어떻게든 임플란트가 가능한 경우가 종종 있습니다.
아래 완전 틀니는 불편함이 크기 때문에 하악 전치부~소구치 부위까지만이라도 임플란트를 심어서 브릿지를 하고
여기에 부분틀니를 거는 절충형 치료로 불편함을 줄여 볼 수 있습니다.
하지만 하악 전치부에서 소구치 부위까지는 어떻게든 임플란트가 가능한 경우가 종종 있습니다.
아래 완전 틀니는 불편함이 크기 때문에 하악 전치부~소구치 부위까지만이라도 임플란트를 심어서 브릿지를 하고
여기에 부분틀니를 거는 절충형 치료로 불편함을 줄여 볼 수 있습니다.
