오래된 틀니의 교체
-
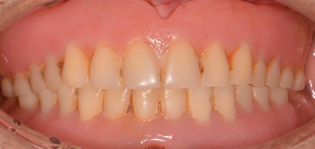
Before
-
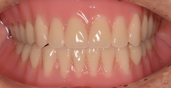
After
오래 사용하신 틀니는 보통 현재 잇몸과 유격이 있어 헐렁하고,
레진 치아의 마모도가 심하며
위생관리가 잘 안되는 경우가 많습니다.
만 65세 이상의 어르신들께는 보험 틀니가 적용되므로
이를 활용하여 새 틀니를 이쁘게 제작해 볼 수 있습니다.
새로운 틀니를 착용하시면 10년은 젊어보이시는 경우가 많습니다. ^^
레진 치아의 마모도가 심하며
위생관리가 잘 안되는 경우가 많습니다.
만 65세 이상의 어르신들께는 보험 틀니가 적용되므로
이를 활용하여 새 틀니를 이쁘게 제작해 볼 수 있습니다.
새로운 틀니를 착용하시면 10년은 젊어보이시는 경우가 많습니다. ^^
