굿프렌즈 치과
임플란트
치아교정
일반 진료
틀니치료
소아진료
임상증례
굿프렌즈 치과
임플란트
치아교정
일반 진료
틀니치료
소아진료
임상증례

굿프렌즈 치과
임플란트
치아교정
일반 진료
틀니치료
소아진료
임상증례

치아교정

굿프렌즈 치과 임상 케이스

직접 확인해보세요!

자연치아 살리기
임플란트
심미보철치료
틀니
치아교정
사랑니발치
기타치료

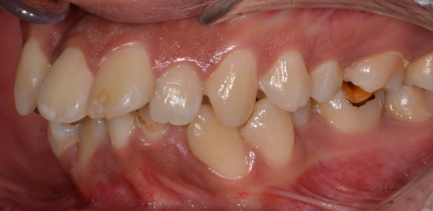
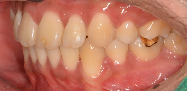
치열과 치축 교정

Before
After
미적으로도 예뻐짐은 물론이고 칫솔질과 치실질 등 구강 위생관리에도

유리하게 치열과 치축을 교정하였습니다.

굿프렌즈 치과
진료시간 및 오시는 길

※일요일 및 공휴일은 휴진

전화상담

카톡상담

네이버 예약

블로그

인스타그램

치료후
주의사항

오시는 길

▲ TOP