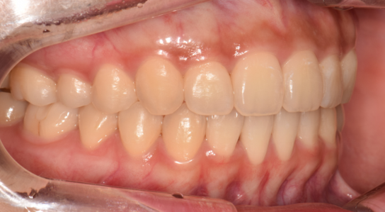
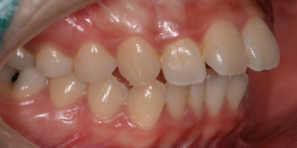
뻐드러진 앞니 교정
-
Before
-
After
앞니 사이에 큰 공간이 생겨서
면 음식을 끊어 드시기도 어렵고
입술이 잘 닫히지 않는 등 미적인 아쉬움도 있었던 환자였으나,
교정 후 너무나 이쁜 치열과 외모로 바뀐 케이스 입니다.
환자께서도 크게 만족하셨습니다. ^^
면 음식을 끊어 드시기도 어렵고
입술이 잘 닫히지 않는 등 미적인 아쉬움도 있었던 환자였으나,
교정 후 너무나 이쁜 치열과 외모로 바뀐 케이스 입니다.
환자께서도 크게 만족하셨습니다. ^^
