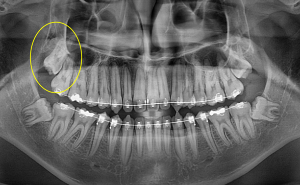
상악 깊이 매복된 사랑니 발치
-
Before
-
After
위쪽 깊숙히 매복된 사랑니는 때로 발치하기가 까다로울 때가 있습니다.
하지만 다양한 경험을 가진 숙련된 원장은 어렵지 않게 발치할 수 있습니다.
뿌리가 벌어진 채로 4개나 있는 어려운 치아였지만
다행히 큰 문제 없이 잘 발치되었습니다.
하지만 다양한 경험을 가진 숙련된 원장은 어렵지 않게 발치할 수 있습니다.
뿌리가 벌어진 채로 4개나 있는 어려운 치아였지만
다행히 큰 문제 없이 잘 발치되었습니다.
