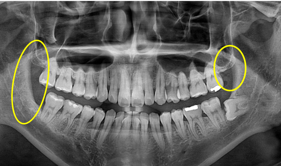
상,하악 사랑니 발치
-
Before
-
After
아예 잇몸 깊숙히 누워있는 사랑니는 굳이 발치하지 않아도 되지만,
잇몸 밖으로 부분적으로 나온 사랑니들은 관리하기도 어렵고
앞 치아와의 사이에 음식물이 끼어 앞 치아까지 망가질 수 있으므로 발치가 필요합니다.
잇몸 밖으로 부분적으로 나온 사랑니들은 관리하기도 어렵고
앞 치아와의 사이에 음식물이 끼어 앞 치아까지 망가질 수 있으므로 발치가 필요합니다.
