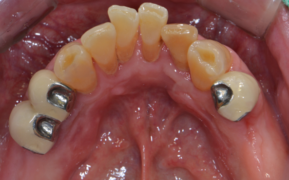
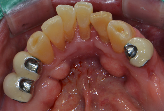
골융기 제거술
-
Before
-
After
많은 분들께서 어느 날 입 안의 치조골 융기를 발견하시고선
놀라서 오시곤 합니다.
"없었는데 갑자기 생겼어요"
"점점 커지는 것 같아요"
"혹시 암 아닌가요?"
하지만 이는 예전부터 있었던 치조골 융기로,
걱정하실 필요없는 정상 구조물입니다.
그대로 두셔도 상관 없지만,
이로 인해 틀니 제작 시 통증 유발이 예상되거나
불편감이 있을 경우 제거술을 시행할 수 있습니다.
놀라서 오시곤 합니다.
"없었는데 갑자기 생겼어요"
"점점 커지는 것 같아요"
"혹시 암 아닌가요?"
하지만 이는 예전부터 있었던 치조골 융기로,
걱정하실 필요없는 정상 구조물입니다.
그대로 두셔도 상관 없지만,
이로 인해 틀니 제작 시 통증 유발이 예상되거나
불편감이 있을 경우 제거술을 시행할 수 있습니다.
