잇몸치료.
-
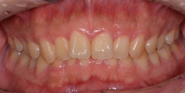
Before
-
After
스케일링은 아시는 분들이 많지만 '잇몸치료' 라고 하면 생소하게 느끼시는 분들이 많은 것 같습니다.
스케일링은 잇몸 상방 치아쪽에 침착된 치태와 치석을 제거하는 시술이고,
잇몸치료는 잇몸 하방 쪽에 침착된 치태와 치석, 염증조직을 제거하는 시술이라고 생각하시면 쉽습니다.
스케일링 후에 잇몸치료까지 주기적으로 시행하시면
위 케이스처럼 붉고 부어있는 염증성 잇몸에서 선홍색에 탄력있는 건강한 잇몸으로 금방 변화시킬 수 있습니다.
스케일링은 잇몸 상방 치아쪽에 침착된 치태와 치석을 제거하는 시술이고,
잇몸치료는 잇몸 하방 쪽에 침착된 치태와 치석, 염증조직을 제거하는 시술이라고 생각하시면 쉽습니다.
스케일링 후에 잇몸치료까지 주기적으로 시행하시면
위 케이스처럼 붉고 부어있는 염증성 잇몸에서 선홍색에 탄력있는 건강한 잇몸으로 금방 변화시킬 수 있습니다.
